En esta publicación os vamos a presentar el caso de una paciente que acude a la consulta por dolor en la articulación temporomandibular y en los músculos masticatorios.
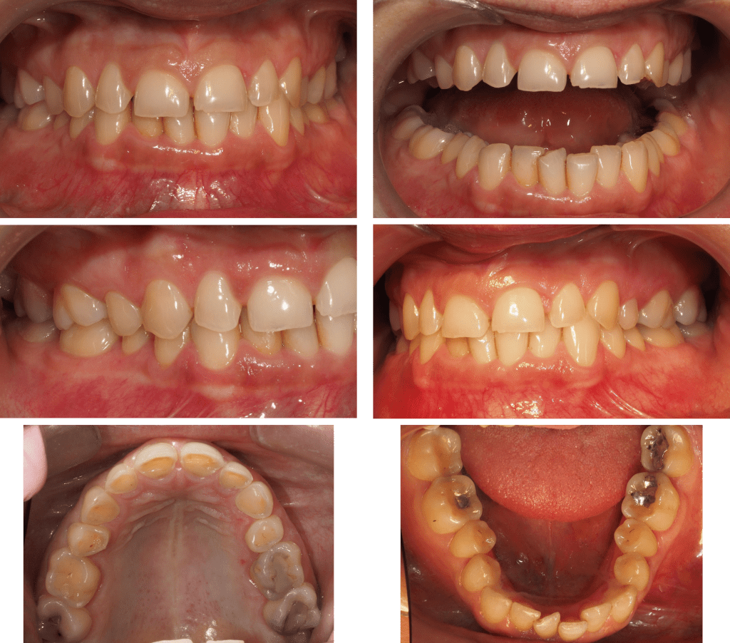
Después de una minuciosa primera visita y el estudio de las pruebas complementarias vemos que hay desgastes por ácidos que han llevado a una disminución de la dimensión vertical de oclusión (DVO), que a su vez han desencadenado en una inestabilidad oclusal y a un aumento de la actividad muscular (bruxismo). Además, presenta apiñamiento en los incisivos inferiores y dientes superiores “cortos” debido a una erupción pasiva alterada (EPA). (Figuras 1-6)

El plan de tratamiento seguido estuvo enfocado en recuperar la salud, función y estética realizando un alargamiento de corona guiado de los incisivos superiores (Figuras 7-8), ortodoncia para alinear los dientes anteroinferiores, y un aumento de la dimensión vertical mediante una rehabilitación adhesiva con carillas e incrustaciones de cerámica en relación céntrica (Figuras 9-11). Terminamos el trabajo con una férula de descarga nocturna.
Gracias a la colaboración de la paciente, que acude regularmente a las revisiones, y al enfoque multidisciplinar de este caso, cuatro años después, la paciente continua asintomática.


Paciente que acude a nuestra consulta por recesiones en los caninos superiores causados por un cepillado traumático. Tras realizar un estudio del caso, decidimos hacer un recubrimiento mediante un injerto de conectivo autólogo.

Realizamos dos técnicas diferentes para recubrir los defectos. En el lado derecho del paciente, se llevó a cabo una técnica en túnel, mientras que en el lado izquierdo optamos por un injerto libre de encía.
El resultado es igual utilizando cualquiera de las dos técnicas.

Gracias a un buen diagnóstico y al tratamiento del factor etiológico corrigiendo la técnica de cepillado, sumado a una buena técnica quirúrgica, el pronóstico a largo plazo de estas recesiones es muy predecible, obteniendo resultados excelentes como en este caso.

