En esta publicación os vamos a presentar un caso de un paciente con bruxismo severo y sobrecarga oclusal en el sector anterior, que ha experimentado un deterioro progresivo de los incisivos inferiores. El manejo del caso ha requerido un enfoque secuencial, combinando tratamiento endodóntico, cirugía regenerativa y rehabilitación implantosoportada, con el objetivo de recuperar tanto la función como la estética del sector afectado. Este caso pone de manifiesto la importancia de una planificación cuidadosa en pacientes bruxistas, así como el papel clave de la cirugía regenerativa en la rehabilitación de defectos óseos.
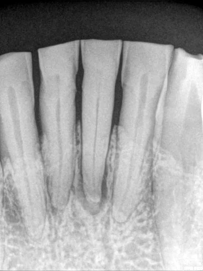
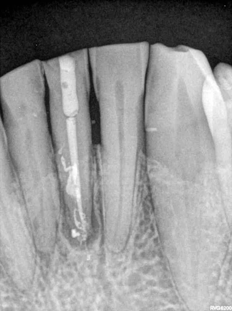
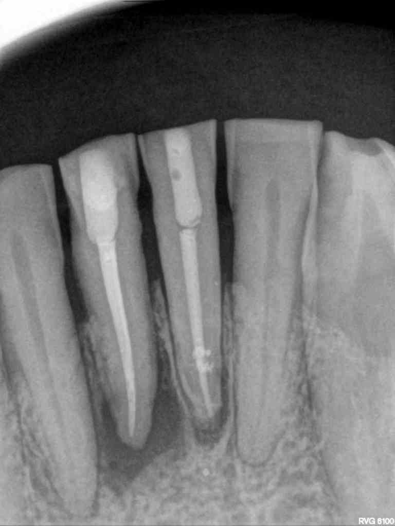
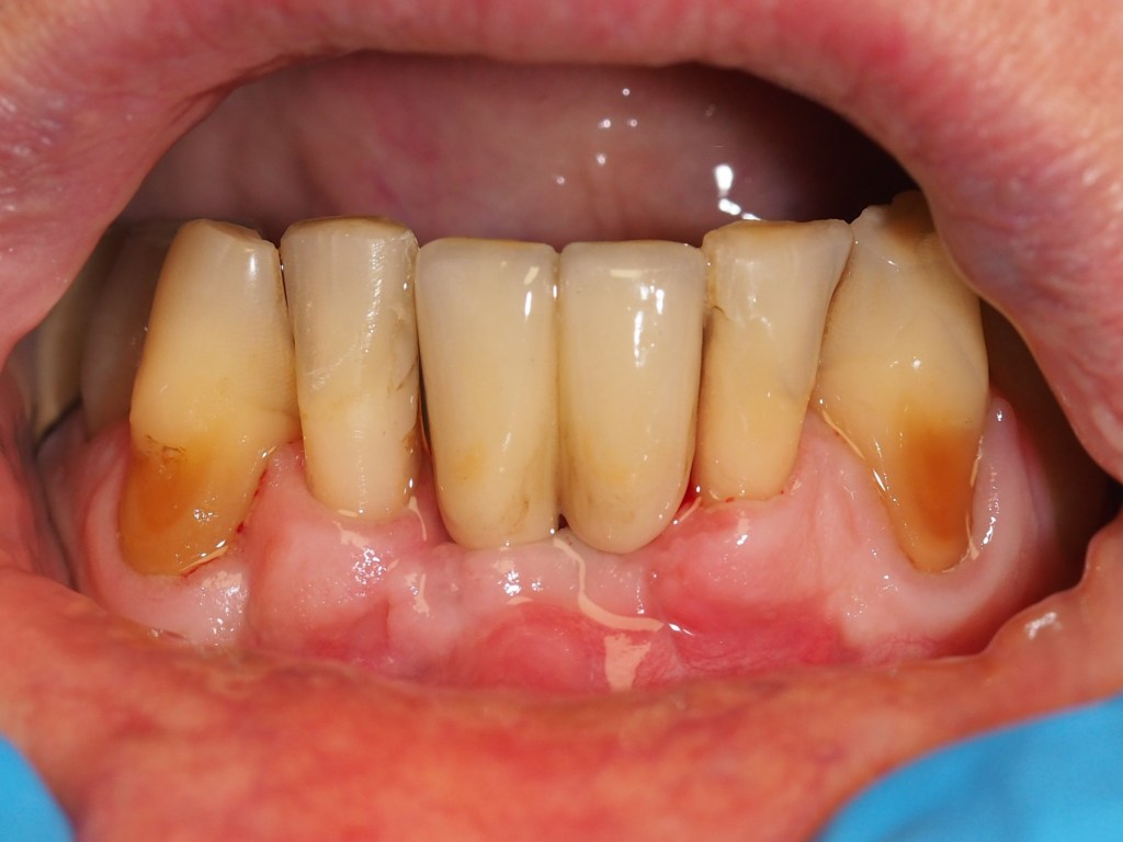
El paciente acude a la consulta en 2022 con sintomatología compatible con necrosis pulpar en el diente 3.1. Tras la confirmación diagnóstica, se realiza el tratamiento de conductos. Un año después, el diente 4.1 presenta un cuadro clínico similar, asociado a la sobrecarga funcional derivada del bruxismo. Se diagnostica necrosis pulpar y se procede igualmente a realizar tratamiento endodóntico. En 2025, el paciente acude con la presencia de una fístula vestibular a nivel del 4.1. Tras la evaluación clínica y radiográfica, se concluye la existencia de una fractura radicular vertical, lo que compromete el pronóstico del diente (Figuras 1-6).






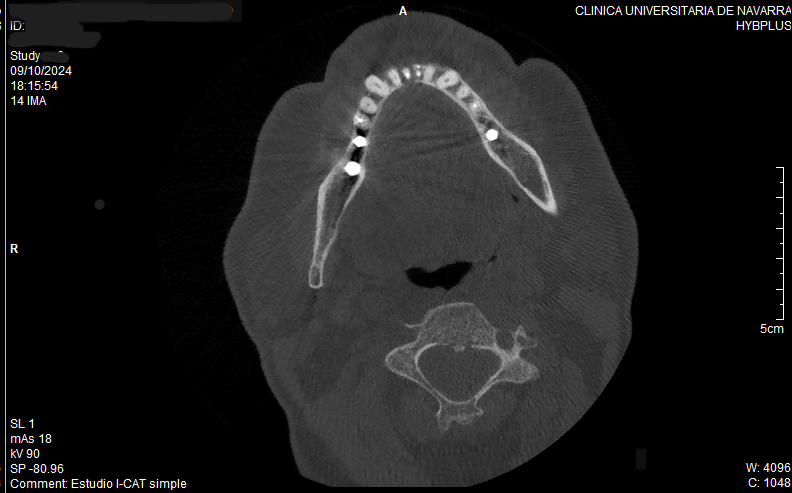
Tras realizar un diagnóstico por imagen en 3D, observamos la pérdida total de la cortical vestibular y lingual a nivel del 4.1 (Figura 7 -8).


Se decide la extracción del diente 4.1 y la realización de una regeneración ósea guiada mediante el uso de hueso autólogo y membranas reabsorbibles en silla de montar. El diente 3.1 se mantiene de forma estratégica como soporte para una restauración provisional, anticipando su futura extracción en la fase final del tratamiento. En las fotos intraorales de la cirugía, tras la extracción el incisivo y legrado del granuloma, podemos apreciar la ausencia de hueso por vestibular y una perforación en la cortical lingual. (Figuras 9-12).




Una vez obtenida una adecuada regeneración ósea (Figuras 13-15), se procede a la colocación de un implante en la posición del 4.1, asegurando una correcta estabilidad primaria (Figuras 16-17).





Tras un periodo de osteointegración de seis meses, se realiza la rehabilitación definitiva mediante la colocación de dos coronas, apoyadas principalmente en el implante del 4.1, restituyendo tanto la función como la estética del sector anterior (Figura 18-20).



En esta publicación os vamos a presentar el caso de una paciente que acude a la consulta por dolor en la articulación temporomandibular y en los músculos masticatorios.
Después de una minuciosa primera visita y el estudio de las pruebas complementarias vemos que hay desgastes por ácidos que han llevado a una disminución de la dimensión vertical de oclusión (DVO), que a su vez han desencadenado en una inestabilidad oclusal y a un aumento de la actividad muscular (bruxismo). Además, presenta apiñamiento en los incisivos inferiores y dientes superiores “cortos” debido a una erupción pasiva alterada (EPA). (Figuras 1-6)

El plan de tratamiento seguido estuvo enfocado en recuperar la salud, función y estética realizando un alargamiento de corona guiado de los incisivos superiores (Figuras 7-8), ortodoncia para alinear los dientes anteroinferiores, y un aumento de la dimensión vertical mediante una rehabilitación adhesiva con carillas e incrustaciones de cerámica en relación céntrica (Figuras 9-11). Terminamos el trabajo con una férula de descarga nocturna.
Gracias a la colaboración de la paciente, que acude regularmente a las revisiones, y al enfoque multidisciplinar de este caso, cuatro años después, la paciente continua asintomática.


Paciente que acude a nuestra consulta por recesiones en los caninos superiores causados por un cepillado traumático. Tras realizar un estudio del caso, decidimos hacer un recubrimiento mediante un injerto de conectivo autólogo.

Realizamos dos técnicas diferentes para recubrir los defectos. En el lado derecho del paciente, se llevó a cabo una técnica en túnel, mientras que en el lado izquierdo optamos por un injerto libre de encía.
El resultado es igual utilizando cualquiera de las dos técnicas.

Gracias a un buen diagnóstico y al tratamiento del factor etiológico corrigiendo la técnica de cepillado, sumado a una buena técnica quirúrgica, el pronóstico a largo plazo de estas recesiones es muy predecible, obteniendo resultados excelentes como en este caso.

Paciente, con una alta demanda estética, que acude a nuestra consulta por un defecto óseo vertical y horizontal por una extracción muy traumática previa.


Se le realiza un injerto de hueso en bloque procedente de la rama mandibular para ganar tanto altura como anchura. Posteriormente, se hace un injerto de tejido conectivo en la zona a rehabilitar.


Tras una fase de ortodoncia para ganar espacio protético, se procede a la colocación de dos implantes y la confección de dos coronas provisionales hechas en clínica para guiar la cicatrización de la encía.


Una vez superada esta fase de osteointegración, se coloca una prótesis fija atornillada sobre los dos implantes.


07 Mar 2020
Jornada de actualización junto a los mejores profesionales de la mano de Prof. Marzena Dominiak (University of Wroclaw) y Prof. Thomas Gerdrange (University of Dresden).
View this post on Instagram¡La precisión es nuestra seña de identidad! 🦷🤓🥰
A post shared by Clínica De Maeztu (@demaeztu_hortzklinika) on
View this post on InstagramA post shared by Clínica De Maeztu (@demaeztu_hortzklinika) on
View this post on Instagram¡Hoy en la reunión territorial de @bqdc ! 😍 Gaur, @bqdc ko topaketa territorialean!
A post shared by Clínica De Maeztu (@demaeztu_hortzklinika) on
